Precision You Can See
With meticulous attention to detail and advanced techniques, we craft every smile with precision you can see and results you can always truly trust.




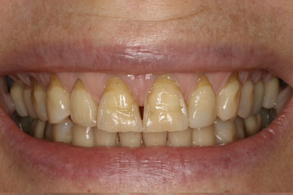
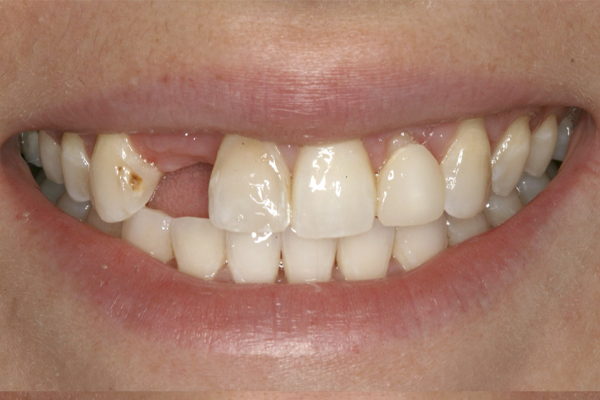
Restore Strength - Renew Confidence
Expert restorative dentistry solutions that repair, strengthen, rejuvenate, and protect your teeth for a healthy, radiant, confident smile.
Comprehensive Dental Restoration
Natural-Looking Results
Long-Lasting Confidence
Bring Your Smile Back to Life
Personalized Consultation your journey begins with a thorough consultation where we assess your dental health, understand your concerns, and create a customized plan to restore your smile.
Expert Restoration using advanced techniques and high-quality materials, we repair damaged, decayed, or missing teeth to restore function, comfort, and natural beauty.
Natural and Lasting Results every restoration is crafted to blend seamlessly with your natural teeth, ensuring long-lasting, aesthetically pleasing results that boost your confidence.
Take the First Step Today don’t wait to regain a healthy, radiant smile—contact our team now to schedule your consultation and start your smile transformation.
Our Clients

Ethan
- Dental Care Patient

Liam
- Dental Care Patient

Noah
- Dental Care Patient
Appointments
Lorem ipsum dolor sit amet, consectetuer adipiscing elit. Aenean commodo ligula eget dolor. Aenean massa. Cum sociis natoque penatibus et magnis dis parturient montes.
